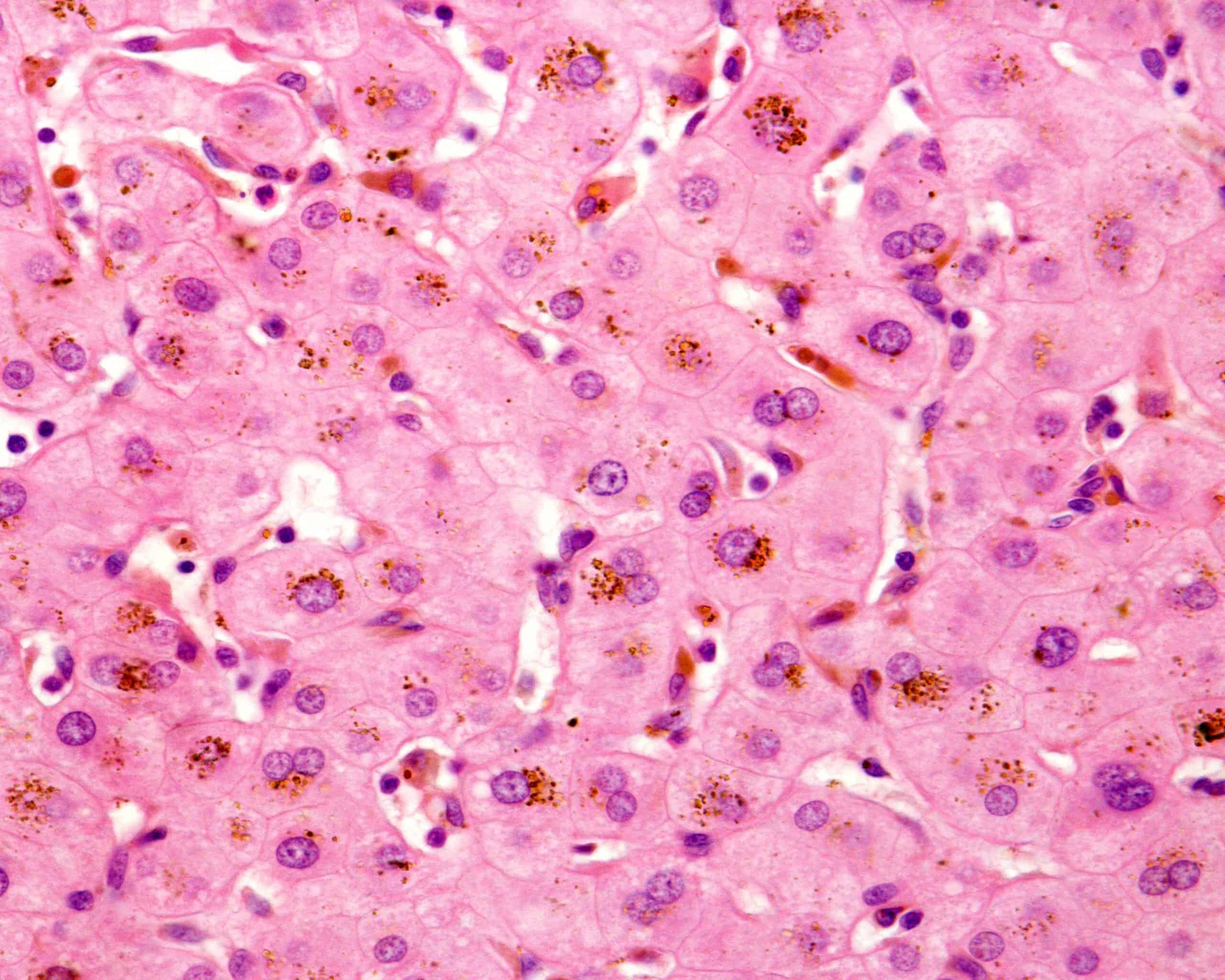
In medicina la colestasi è una stasi con flusso retrogrado della bile verso il sangue, per incapacità alla secrezione verso il letto biliare o per aumentata pressione a valle. Una condizione in cui la bile non può fluire dal fegato al duodeno.
Fisiologia dell'escrezione biliare
La produzione delle bile è una funzione secretoria del fegato. Inizia nei canalicoli biliari che sono formati dai solchi ("docce") sulle superfici giustapposte di due cellule epatiche prospicienti. Come rami terminali di un albero, i canalicoli si uniscono tra di loro per formare strutture sempre più grandi, a volte definiti Canali di Hering, che a loro volta si fondono per formare piccoli dotti biliari che hanno una superficie epiteliale. Questi si fondono per formare i dotti biliari più grandi, che progressivamente formano il dotto epatico destro (che riceve la bile dal lobo destro) e il dotto epatico sinistro (che la riceve, invece, dal lobo sinistro). I due dotti si uniscono per formare il dotto epatico comune, che riceverà poi il dotto cistico della cistifellea per formare il coledoco. Questo dotto entra nel duodeno attraverso l'ampolla del Vater.
Classificazione
Le due distinzioni principali della colestasi sono il tipo ostruttivo, dove c'è un blocco fisico nel sistema duttale come può accadere a causa di calcoli o tumori, e il tipo metabolico, dove ci sono alterazioni nella formazione della bile (insufficienza secretoria dell'epatocita) che possono essere causate da difetti genetici o acquisiti come effetto collaterale di trattamenti medici.
Eziologia
- Tumore della testa del pancreas, colangiocarcinoma e tumore dell'ampolla di Vater
- Atresia biliare e altre malattie pediatriche
- Trauma biliare
- Anomalie congenite del tratto biliare
- Calcolosi biliare
- Colestasi gravidica
- Cirrosi biliare primitiva
- Colangite sclerosante primitiva
- Farmaci (come eritromicina, nitrofurantoina, ormoni estrogeni e steroidi anabolizzanti).
Segni e sintomi
- prurito, principale sintomo: si pensa sia dato dalle interazioni degli acidi biliari in circolo (condizione detta colalemia) con le terminazioni nervose oppioidi. A dimostrazione di ciò, l'agonista/antagonista oppioide Naltrexone è usato per trattare questo prurito
- ittero, comune nella colestasi ostruttiva, raro in quella intraepatica
- feci chiare (ipocoliche), caratteristico della colestasi ostruttiva
- urine scure
- malassorbimento, con feci untuose (ossia steatorrea) e perdita delle vitamine liposolubili A, D, E e K
- xantomi cutanei
Si aggiungono anche i seguenti segni dalle analisi di laboratorio del sangue:
- aumento della bilirubina coniugata o diretta
- aumento della fosfatasi alcalina (FA)
- aumento della γ-glutamil transpeptidasi (GGT)
- aumento della 5'-nucleotidasi
- aumento della leucin amminopeptidasi (LAP)
Diagnosi
L'esame chiave è l'ecografia addominale, attraverso la quale si può osservare la forma delle vie biliari. Queste saranno sottili se la colestasi è intraepatica; saranno dilatate a monte dell'ostacolo se questo è meccanico. In più, spesso l'ecografia permette la diagnosi della causa dell'ostacolo e del suo livello, che può essere ilare (a livello della confluenza dei rami destro e sinistro del dotto epatico) o del dotto coledoco, o anche allo sbocco di questo a livello dello sfintere di Oddi.
Bibliografia
- Robbins e Cotran, Le basi patologiche delle malattie, Elsevier, 2005.
Voci correlate
- Ittero
- Colestasi gravidica
- Sindrome di Aagenaes
Altri progetti
- Wikimedia Commons contiene immagini o altri file su colestasi




